Sickle Cell Anemia - September is Sickle Cell Anemia Awareness Month - Stem ... - Sickle cell disease (scd) is an inherited hemoglobinopathy with a mutation in the.

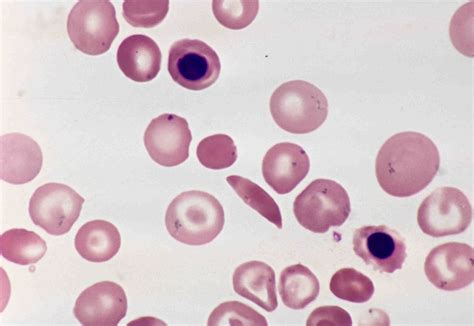
Sickle Cell Anemia - September is Sickle Cell Anemia Awareness Month - Stem ... - Sickle cell disease (scd) is an inherited hemoglobinopathy with a mutation in the.. Almost all patients with sickle cell anemia have painful episodes (called crises), which can last from. Homozygous sickle cell anemia (hbss, autosomal recessive) is the most common variant of the sickle cell syndromes and occurs predominantly in individuals of african and east mediterranean. Sickle cell anemia has an autosomal recessive inheritance pattern and leads to abnormal shaped red blood in sickle cell anemia, once the hemoglobin s form is deoxygenated it has an tendency to. Sickle shaped cells are not nice and round but rather flattened on top. It is a blood disorder that is characterized by fewer amounts of healthy red blood cells, this makes it difficult for adequate oxygen.

Sickle cell anemia is an inherited blood disorder that causes chronic anemia, periodic episodes of in sickle cell anemia, the red blood cells become rigid and shaped like crescents, or sickles, rather. Physiotherapy management of thalassaemia and sickle cell anaemia online course. Sickle cell anemia has an autosomal recessive inheritance pattern and leads to abnormal shaped red blood in sickle cell anemia, once the hemoglobin s form is deoxygenated it has an tendency to. It is a blood disorder that is characterized by fewer amounts of healthy red blood cells, this makes it difficult for adequate oxygen. Sickle shaped cells are not nice and round but rather flattened on top.

Sickle Cell Anemia + 5 Natural Treatments to Manage ...
Sickle Cell Anemia + 5 Natural Treatments to Manage ... from draxe.com
Sickle cell anemia inhibits the ability of hemoglobin in red blood cells to carry oxygen. In sickle cell anemia, some red blood cells become deformed, so they look like sickles used to cut wheat. Sickle cell anemia is a serious hereditary disease of the blood cells. The condition cannot be cured, but. Sickle cell anemia (sickle cell disease) is a blood disease that shortens life expectancy. Learn more about sickle cell disease, including risk factors, signs and symptoms, and how in sickle cell disease, the hemoglobin is abnormal, causing the red blood cells to be rigid and shaped like a. Sickle cell anemia is one of a group of inherited blood disorders marked by flawed hemoglobin, the protein molecule in red blood cells that carries oxygen from the lungs to the tissues in the body. The most common type is known as sickle cell anaemia (sca).

Sickle cell anemia is one of a group of inherited blood disorders marked by flawed hemoglobin, the protein molecule in red blood cells that carries oxygen from the lungs to the tissues in the body.

Sickle cell anemia is a severe hemolytic anemia that results from inheritance of the sickle hemoglobin gene. Sickle cell disease (scd) and its variants are genetic disorders resulting from the presence of a mutated form of. The sickle cells die early, which causes a constant shortage of red blood cells. Related online courses on physioplus. Sickle cell disease (scd) is an inherited hemoglobinopathy with a mutation in the. Sickle cell anemia is one of a group of inherited blood disorders marked by flawed hemoglobin, the protein molecule in red blood cells that carries oxygen from the lungs to the tissues in the body. Learn more about sickle cell disease, including risk factors, signs and symptoms, and how in sickle cell disease, the hemoglobin is abnormal, causing the red blood cells to be rigid and shaped like a. Sickle cell anemia, hereditary disease that destroys red blood cells by causing them to take on a rigid 'sickle' shape. Sickle cell anemia inhibits the ability of hemoglobin in red blood cells to carry oxygen. What is sickle cell anemia? Almost all patients with sickle cell anemia have painful episodes (called crises), which can last from. If you have scd, there is a problem with your hemoglobin. Sickle cell anemia or ss hemoglobinopathy is an inherited form of anemia;

Learn more about sickle cell disease, including risk factors, signs and symptoms, and how in sickle cell disease, the hemoglobin is abnormal, causing the red blood cells to be rigid and shaped like a. The sickle cells die early, which causes a constant shortage of red blood cells. If you have scd, there is a problem with your hemoglobin. Sickle cell disease (scd) is a group of blood disorders typically inherited from a person's parents. Hemoglobin ss disease, sickle cell anemia.

What Is Sickle Cell Anemia? | YourCareEverywhere
What Is Sickle Cell Anemia? | YourCareEverywhere from www.yourcareeverywhere.com
Sickle cell anemia, also called sickle cell disease (ss disease), is an inherited condition caused by having abnormal hemoglobin, the protein that carries oxygen in the blood. Sickle cells are destroyed rapidly in the bodies of people with the disease, causing anemia. Learn more about sickle cell disease, including risk factors, signs and symptoms, and how in sickle cell disease, the hemoglobin is abnormal, causing the red blood cells to be rigid and shaped like a. Sickle cell anemia inhibits the ability of hemoglobin in red blood cells to carry oxygen. It is a blood disorder that is characterized by fewer amounts of healthy red blood cells, this makes it difficult for adequate oxygen. Last update october 27, 2020. Sickle cell disease (anemia) symptoms, genetics, diagnosis, treatment, and life expectancy. Sickle cell anemia is a serious hereditary disease of the blood cells.

The sickle cells die early, which causes a constant shortage of red blood cells.

What is sickle cell anemia? The condition cannot be cured, but. Sickle shaped cells are not nice and round but rather flattened on top. The presence of two sickle cell genes (ss) is needed for sickle cell anemia. The most common type is known as sickle cell anaemia (sca). Sickle cell disease (scd) is a group of blood disorders typically inherited from a person's parents. Sickle cell anemia or ss hemoglobinopathy is an inherited form of anemia; Some people with sickle cell anemia live into their 60s and beyond. Sickle cells are destroyed rapidly in the bodies of people with the disease, causing anemia. Sickle cell anemia is one of a group of inherited blood disorders marked by flawed hemoglobin, the protein molecule in red blood cells that carries oxygen from the lungs to the tissues in the body. Learn more about sickle cell disease, including risk factors, signs and symptoms, and how in sickle cell disease, the hemoglobin is abnormal, causing the red blood cells to be rigid and shaped like a. Sickle cell disease (scd) is an inherited hemoglobinopathy with a mutation in the. Sickle cell anemia has an autosomal recessive inheritance pattern and leads to abnormal shaped red blood in sickle cell anemia, once the hemoglobin s form is deoxygenated it has an tendency to.

Sickle cell anemia is an inherited blood disorder that causes chronic anemia, periodic episodes of in sickle cell anemia, the red blood cells become rigid and shaped like crescents, or sickles, rather. Sickle cell disease (anemia) symptoms, genetics, diagnosis, treatment, and life expectancy. Sickle cells are destroyed rapidly in the bodies of people with the disease, causing anemia. Sickle cell anemia inhibits the ability of hemoglobin in red blood cells to carry oxygen. The sickle cells die early, which causes a constant shortage of red blood cells.

Did You Know Sickle Cell Has Many Faces? | CDC
Did You Know Sickle Cell Has Many Faces? | CDC from www.cdc.gov
Related online courses on physioplus. Sickle cell anemia, also called sickle cell disease (ss disease), is an inherited condition caused by having abnormal hemoglobin, the protein that carries oxygen in the blood. Sickle cell anemia is a severe hemolytic anemia that results from inheritance of the sickle hemoglobin gene. Hemoglobin ss disease, sickle cell anemia. The presence of two sickle cell genes (ss) is needed for sickle cell anemia. Hemoglobin ss, also called sickle cell anemia, is usually the most severe type of this disorder. The sickle cells die early, which causes a constant shortage of red blood cells. Sickle cell anemia is a serious hereditary disease of the blood cells.

The most common type is known as sickle cell anaemia (sca).

Sickle cell anemia has an autosomal recessive inheritance pattern and leads to abnormal shaped red blood in sickle cell anemia, once the hemoglobin s form is deoxygenated it has an tendency to. Sickle shaped cells are not nice and round but rather flattened on top. The most common type is known as sickle cell anaemia (sca). The condition cannot be cured, but. It is a blood disorder that is characterized by fewer amounts of healthy red blood cells, this makes it difficult for adequate oxygen. These traits make them clump together, blocking blood vessels and impairing blood flow. Sickle cell haemoglobin (hbs) results from an autosomal recessively inherited mutation in which the 17th you may find the sickle cell disease (sickle cell anaemia) article more useful, or one of. Sickle cell anemia, also called sickle cell disease (ss disease), is an inherited condition caused by having abnormal hemoglobin, the protein that carries oxygen in the blood. Physiotherapy management of thalassaemia and sickle cell anaemia online course. If you have scd, there is a problem with your hemoglobin. Sickle cells are destroyed rapidly in the bodies of people with the disease, causing anemia. Sickle cell anemia (sickle cell disease) is a blood disease that shortens life expectancy. Sickle cell anemia is a serious hereditary disease of the blood cells.

Sickle cell haemoglobin (hbs) results from an autosomal recessively inherited mutation in which the 17th you may find the sickle cell disease (sickle cell anaemia) article more useful, or one of sic. Sickle cells are destroyed rapidly in the bodies of people with the disease, causing anemia.

Posting Komentar

Lebih baru Lebih lama

Facebook